辨識中風症狀: 24小時緊急中風磁力共振造影 MRI
辨識 中風 症狀
- 識別突然嚴重頭痛、頭暈、麻痹、意識模糊、說話困難或視力變化等中風症狀對於採取快速行動拯救大腦至關重要。
常見中風症狀
- 突發劇烈頭痛
- 通常原因不明。
- 約 10-20% 的中風患者會出現此症狀,常與出血性中風有關。
- 頭暈、眩暈或旋轉感
- o 約 20-30% 的腦幹中風會出現這種情況。


- 麻痹或感覺喪失
- 臉部或身體一側的麻痹或者感覺喪失。
- 50-60% 的中風患者會出現這種情況。

- 一側臉部、手臂或腿部突然無力(偏癱)
- 約 40-50% 的中風患者出現一側臉部癱瘓無力。
- 大約 70-80% 的中風患者會出現一側肢體無力或者癱瘓。


- 協調問題、失去平衡與行走困難
- 突然出現行走困難、步態不穩或失去平衡。
- 發生在 30-50% 的中風病例中。

- 言語障礙
- 瞭解言語困難、說話困難(失語症)、說話錯誤、言語不清或發音不清(構音障礙)。
- 約 50-70% 的缺血性中風患者會出現這種情況。
- 言語障礙

- 認知與記憶障礙
- 記憶力和認知功能受損。
- 高達 40-50% 中風倖存者出現這些症狀。

- 意識混亂、嗜睡、意識改變或昏迷
- 約 10-20% 的嚴重中風出現這些症狀。
- 尤其是嚴重中風。

- 視覺障礙(視力模糊、複視重影)
- 視覺模糊、視物困難、視野缺損、眼簾下垂、複視重影、斜視、眼球震顫。
- 15-30% 的中風,尤其是腦幹中風。




- 吞嚥困難
- 20-40% 的中風患者會出現這種情況,甚至無法吞嚥自己的唾液。
- 尤其是腦幹中風。

24小時緊急MRI檢查,快速診斷急性中風
“時間就是大腦“
急性中風快速診斷和治療的黃金小時
- 急性中風是指腦部血流中斷-無論是因為阻塞(缺血性中風)或出血(出血性中風)。
- 「時間就是大腦」: 中風時,分秒必爭。由於腦細胞可能在血流中斷後幾分鐘內死亡,因此分分秒秒都至關重要。
- 急性中風的黃金小時因此對於腦部挽救至關重要。在中風症狀出現後的幾小時內,必須迅速做出準確的診斷,並進行及時有效的治療。
- 在黃金小時內拯救大腦旨在挽救生命,防止不可逆的腦損傷,盡量減少長期神經功能缺損。
- 改善中風倖存者的生活:因此,在黃金小時內及時診斷中風並立即進行有效的治療,可以促進患者的預後康復,改善中風倖存者的生活質素。
全天候24小時緊急磁力共振造影MRI檢查,快速診斷急性中風
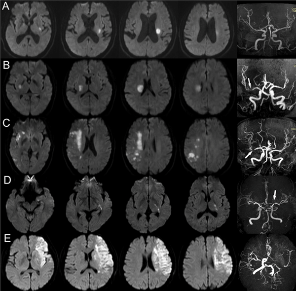
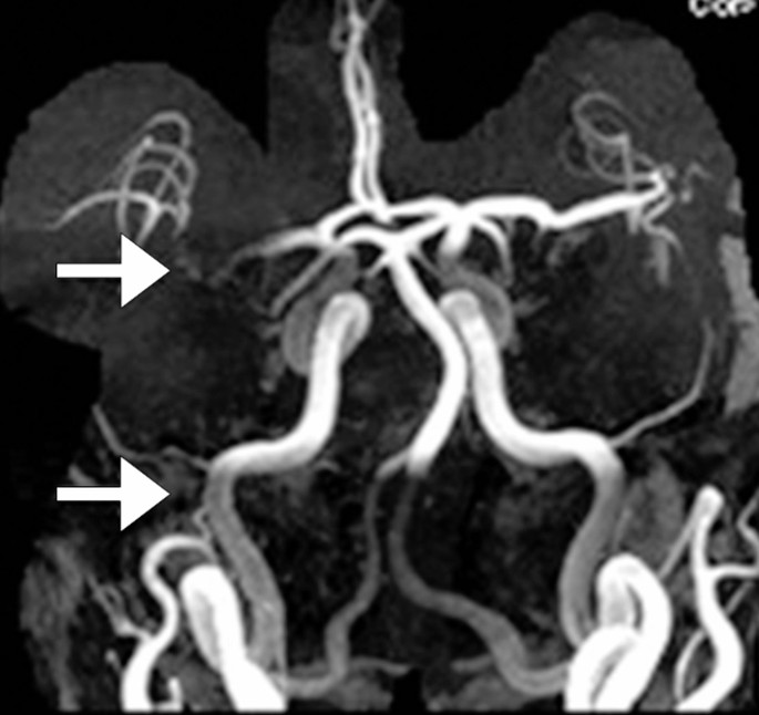
- 緊急磁力共振MRI造影對於在中風黃金小時內進行準確診斷至關重要,尤其是對於缺血性中風。
- MRI 可提供腦部及其血管的詳細影像,從而評估中風類型。




- MRI 亦可顯示缺血性中風時血管阻塞的部位和範圍,或出血性中風時出血的部位和範圍,從而提供選擇合適治療方案的指導。

全天候24小時 (24/7) 緊急磁力共振MRI造影,快速診斷急性中風
- 在香港腦脊中風及痛症狀顧問中心,我們提供全天候24小時 (24/7) 緊急磁力共振MRI造影服務,可在中風症狀出現時提供快速準確的診斷。
| |
![]() | ![]() |
- 及時進行 MRI 中風診斷,以便在黃金小時內及時有效治療,拯救大腦,減少長期殘疾並改善復康效果。
- 我們的診所全天候運作。我們擁有專業的神經外科醫護團隊,並藉助先進的 MRI 技術,全天候提供緊急中風篩檢和人性化護理。
- 全天候中風服務確保中風患者及其家屬在一天中的任何時間都能立即獲得專科護理。
專業醫療團隊
我們的專業醫療團隊由訓練有素、專攻中風護理的神經外科醫護團隊組成。他們能夠快速解讀MRI結果,然後為藥物治療、血管內介入或手術等緊急中風治療方案提供意見。
家庭支持與教育
我們了解中風對患者及其家人來說可能令人難以承受。我們提供全面的支持,包括中風認知、中風症狀、治療方案和復健計畫方案的教育資訊。我們富有同情心的員工隨時準備好解答您的疑問,並引導家人度過這段充滿挑戰的時期。
如果您或家人出現中風症狀,請撥打緊急中風專線:


