癲癇發作的風險管理

可能引發癲癇發作的因素

  • 如先前以所述,因為根據醫療統計,即使是看似健康的一般人,一生中至少經歷一次癲癇發作的風險並不低,估計約為 10% 至 15%。
  • 這意味著大約七分之一人口中可能在一生中的某個時刻就有癲癇發作的機會,但多次癲癇發作以至患上癲癇症(Epilepsy)的風險較低,大約僅為 3-5% 左 右

什麼是癲癇發作的觸發臨界點?

  • 癲癇發作的觸發臨界點:
  • 是指誘發癲癇發作所需要的腦神經興奮程度來誘發癲癇發作。
  • 每個一人腦部之觸發臨界點間都有差異,而臨界狀態的達成可能受到多種因素影響。
  • 降低癲癇發作的臨界點及增加癲癇發作的風險因素

    癲癇的病因由多種不同的因素或誘因引起,這些因素會使腦神經元相對不穩定,繼而降低癲癇發作的臨界點,使患者容易癲癇發作:
    • 非典型的兒童期發燒熱性痙攣(Atypical Febrile Convulsion)
      • 發高燒可引起的熱性驚厥 (Febrile Convulsion)
      • 熱性驚厥是幼兒期 (尤其是在 6 個月至 5 歲) 的兒童中,最常見的癲癇類型。
      • 典型的熱性驚厥之癲癇發作通常是輕微的,屬於全身性的,持續時間短。兒童成長後有復發性癲癇發作或者患上癲癇症的機率較低。
      • 非典型的發燒熱性痙攣發作(Atypical Febrile Convulsion)是嚴重和局部性的,並且持續時間長,需要立即就醫。因為這些徵象可能意味著局部腦神經異常,兒童成長後有可能有復發性癲癇發作或者患上癲癇症的機會。
    • 先天或後天性腦部結構畸型或異常:
      • 先天性腦部結構先天畸形或異常、腦血管畸型、腦麻痺、神經發育障礙如顳葉內側硬化症及局部皮質發育不良等等,會改變腦部結構,影響神經元穩定性。
    • 腦腫瘤、中風、創傷性的腦損傷。
    • 基因遺傳性的癲癇家族史傾向
    • 部分癲癇是遺傳性的,某些遺傳因子會增加大腦癲癇發作的敏感度,這意味著基因的影響會讓腦神經元更容易處於不穩定狀態。
    • 感染
      • 腦部或中樞神經系統的感染,如腦膜炎、感腦炎、腦囊蟲、腦膿腫等,可能導致神經細胞受損或功能失調。
    • 代謝與免疫問題
      • 代謝紊亂或免疫系統的異常也可能成為發作的誘因。
    • 其他個人誘因
      • 過度興奮、情緒激動、焦慮、壓力:
        • 這些因素可能引起神經系統大量放電或變得敏感。
      • 睡眠不足
        • 睡眠障礙是兒童和成人最常見的癲癇發作誘因之一。
        • 睡眠是維持神經穩定的重要因素,我們的大腦需要足夠時間並且高品質的睡眠來休息,進行自然修復。
        • 睡眠規律紊亂、睡眠不足、睡眠質素不佳、精神疲勞都會降低我們大腦抵抗癲癇發作的能力。
      • 重複性視覺刺激(光敏性癲癇):
        • 視覺刺激可能會直接引起癲癇發作,如果我們的眼睛長時間暴露在頻繁閃爍的燈光中 (例如電視、電子遊戲 或閃光燈) ,大腦的視覺皮層持續接受高頻刺激,有機會誘發光敏性癲癇 (photosensitive epilepsy) 。
    • 酒精、濫用藥物
      • 過量飲酒、戒酒或濫用某些藥物,例如可卡因 (cocaine)等中樞神經興奮劑 (central nervous system stimulant) ,都可能會改變腦部化學成分、影響神經功能和癲癇發作的觸發臨界點。
    • 荷爾蒙波動、脫水、電解質失衡:
      • 女性在月經週期、懷孕或更年期期間,由於荷爾蒙變化,癲癇發作活動可能會增加。
      • 長期禁食或脫水會導致體內電解質失衡,體內血糖、鈉、鉀、鈣或鎂含量過低會擾亂正常的腦電活動,降低癲癇發作的觸發臨界點進而引發癲癇。
    • 環境毒素和接觸某些化學物質: 一些物質會影響神經系統並幹擾腦電波活動,進而引發癲癇發作,例如:
      • 甲醇或酒精類溶劑
      • 重金屬,如鉛、汞、砷
      • 某些農藥和殺蟲劑,特別是有機磷酸酯、工業化學物
      • 吸入化學物質和溶劑,例如油漆稀釋劑和黏合劑中的甲苯
      • 一氧化碳
      • 致癌物和有毒廢棄物
    癲癇發作的風險

    癲癇症的診斷檢查

    專科醫生會通過詳細臨床病史、大腦結構造影、神經測試等方法準確診斷癲癇,繼而製定有效治療癲癇的基礎。

    • 詳細臨床病史:
      • 了解每次癲癇發作的頻率,症狀、持續時間、懷疑觸發的因由、及當其時相關或潛在的神經系統疾病。
    • 腦神經醫學造影:
      • 磁力共振造影 (Magnetic Resonance Imaging MRI)
        • 腦部磁力共振造影(MRI) 在診斷和管理癲癇方面具有多項關鍵優點,包括:
    • MRI 提供細緻的三維立體(3D)腦血管與腦部結構影像,能夠精確偵測及定位任何潛在微小(如僅數毫米)的的腦部異常 和結構病變,這些病變可能是誘發癲癇發作的癲癇原發區,即產生癲癇發作的腦部區域。
    • 例如,腦皮層畸形、疤痕組織、腫瘤、血管異常,以及因外傷或感染引起的腦部結構性病變,均可被精確偵測。
    • MRI 亦能追蹤這些腦病變的進展變化,提供及時醫療干預的依據。
    • MRI 影像同時詳細展現癲癇原發區病變與其周圍正常大腦結構的空間關係,提供評估癲癇手術治療(例如顳葉癲癇手術)可行性、風險以及術前規劃的重要資訊。
    • 因此,識別特定的大腦結構異常和變化,有助於明確癲癇症的根本原因,從而能為患者度身訂做治療方案和策略, 例如調整用藥、預測手術效果和術後之康復。
      • 電腦斷層掃描 (CT)
    • 在緊急情況下 ,例如在出血性中風或頭部受傷時,或 當MRI 禁忌使用時,電腦斷層掃描 (CT scan) 可作為磁力共振造影(MRI) 的輔助檢查。
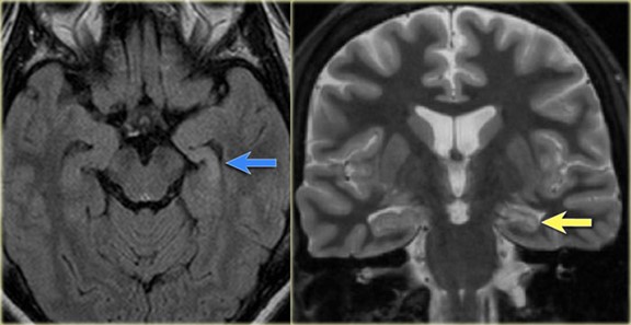
    MRI 磁力共振顯示左側顳葉內側硬化症是引致癲癇的位置
    MRI 磁力共振顯示左側顳葉內側硬化症是引致癲癇的位置
    error: Content is protected !!