易被誤診的腦腫瘤:聽覺神經瘤

聽覺神經瘤(Acoustic Neuroma)又稱為聽神經許旺氏細胞瘤(Schwannoma),或前庭神經鞘瘤(Vestibular Schwannoma),是許旺氏細胞瘤沿第8條腦神經線生長所致。聽覺神經瘤佔了所有顱內腫瘤(Brain Tumour)總數約8%。不過在區域性劃分上,聽覺神經瘤在小腦腦橋角(Cerebral-pontine Angle)是常見的腫瘤,大約佔了所有小腦腦橋角區域腫瘤(Cerebral-pontine Angle Tumor)的80至90%。

聽覺神經瘤在小腦腦橋角(Cerebral-pontine Angle)是常見的腫瘤

什麼是聽神經瘤(前庭神經鞘瘤 / Acoustic Neuroma)?

聽神經瘤,又稱前庭神經鞘瘤(Vestibular Schwannoma),是一種良性腦腫瘤(非癌性),源自包覆第8對腦神經(聽覺神經與前庭神經)的施萬細胞(Schwann cells)。這對神經從內耳延伸至腦幹,負責傳遞聽覺與平衡訊號。腫瘤通常從內聽道(內耳通道)開始生長,逐漸向小腦腦橋角區域擴展。

聽神經瘤生長極其緩慢,平均每年僅增長1–2毫米(約一張信用卡厚度),部分腫瘤甚至多年不變或停止生長。大多數病例(約90–95%)為單側發生,左右側機率大致相等;僅約5–10%為雙側,常與遺傳疾病神經纖維瘤病2型(NF2)相關,此類患者可能同時出現其他神經鞘瘤。

雖然腫瘤位於腦內靠近腦幹,但它並非如一般人想像般「一發現就很嚴重」或致命。相反,聽神經瘤起病平和、進展緩慢,早期常僅表現為單側耳鳴或輕微聽力變化,因此極易被誤診為「年紀大聽力退化」、「耳疾」或「梅尼爾氏症」,導致延遲診斷。及早發現可大幅提高聽力與面部神經功能的保留率,避免腫瘤壓迫腦幹帶來嚴重併發症。

 

常見初期症狀包括:

  • 單側聽力逐漸下降(尤其是高頻音)
  • 持續耳鳴(嗡嗡聲、汽笛聲或蟬鳴)
  • 輕微頭暈或平衡不穩

 

腫瘤變大可致臉部肌肉麻痺無力

主要是因為腫瘤壓迫到腦神經所造成的,可能被影響的有第5、7、8條的腦神經。

  1. 聽覺神經和前庭神經:病人最常出現聽力喪失、耳鳴的症狀(95%),暈眩則較少見(61%)。 

  2. 三叉神經:17%的病人會有臉麻、臉部對感覺刺激特別敏感,或有疼痛的現象。 

  3. 顏面神經:約只有6%的病人會有臉部肌肉麻痺無力,或味覺異常的情況。 

  4. 其他:當腫瘤變大而壓到第9、10、11腦神經時,病人會有吞嚥困難、發音問題。腫瘤如果太大,壓迫到小腦或腦幹則會出現肢體肌肉無力、軀體姿勢和平衡失調、步伐不穩定,如果情況更嚴重的話會有腦積水甚至死亡的風險。
手術過程中,在顯微鏡下觀察到的聽覺神經瘤和第9至11對下顱神經。

磁力共振影像診斷

磁力共振醫學影像檢查,有助於明確診斷及鑑別小腦腦橋角區域的腫瘤,例如腦膜瘤、表皮樣囊腫、三叉神經鞘瘤等的鑑別。

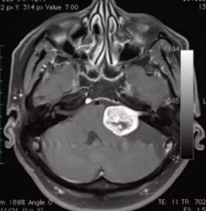
聽覺神經瘤的磁力共振影像特點:

腫瘤對小腦、腦幹的壓力。
可見聽覺神經瘤由內聽道向內側長出來,像蝌蚪的尾巴一樣。
可見聽覺神經瘤由內聽道向內側長出來,像蝌蚪的尾巴一樣。
腫瘤對小腦、腦幹的壓力。

腫瘤較大或壓迫重要神經考慮微創顯微鏡手術切除

腦神經外科醫生會從多方面考慮及評估,制訂合適的治療方案。若腫瘤體積較細小和沒有症狀時,病人可以用保守治療方案定期覆診及檢查,如腫瘤體積較大又或壓迫到重要神經,病人有症狀及影響都較嚴重時,就要考慮接受微創顯微鏡手術切除。

 

保護聽覺神經及面部神經的微創顯微鏡手術

一般來說,微創顯微鏡手術切除是根治聽覺神經瘤的方法,但由於腫瘤與神經線和腦幹的緊密關係,手術過程有一定風險,尤其是聽覺神經受損導致聽力喪失,或是面肌神經受損以致面癱的可能性較大。然而經驗豐富的腦神經外科醫生會在顯微鏡下,以熟練精巧的手術,並利用手術中持續神經監測系統(Continuous Intraoperative Neural Monitoring System IOM),大大提高聽覺神經及面肌神經的功能保存。經驗豐富的腦神經外科醫生,腫瘤全切率達97至100%,面肌神經的功能保存率為51至98.2%,聽力保存率為19至40%,腫瘤復發率為5至10%。

局部剃髮後,只需在耳後開一個 3-4 公分的小傷口
透過微創的乳突後入路小切口開顱術,在顯微鏡下仔細切除聽神經瘤。
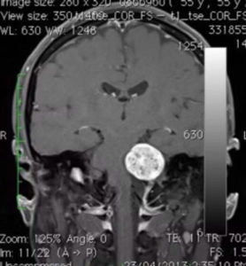
下排MRI: 手術前影像; 上排MRI:保存聽力的腫瘤減壓手術後影像

數碼導航刀放射治療

數碼導航刀放射手術適用於3厘米以下的腫瘤或手術後殘餘的腫瘤,老年、體質差的病人也適用。數碼導航刀放射治療相對風險比較小、康復快、治療時間短,一般3至7天便可。其治療效果與射線照射劑量有一定相關性,但腫瘤有囊性變化、腦幹受壓明顯者不建議此方法治療。其治療的原理是通過高能量射線照射殺死腫瘤細胞,或控制腫瘤細胞的生長。放射治療後短期內,腫瘤會有水腫、擴大的可能,因此術後短期內可能需要脫水降顱壓治療。醫學文獻分析結果顯示,數碼導航刀治療聽覺神經瘤的腫瘤控制率為85至100%,聽力保留率為60%,併發症發生率為5.6%。

伽瑪刀和數碼導航刀放射治療劑量的電腦規劃

結論

聽覺神經瘤一旦確診,如腫瘤體積較大又或壓迫到重要神經,病人症狀明顯、影響也較嚴重時,應該在保護聽覺神經及面部神經功能的原則前提下,儘早治療予以徹底根治。對於老年體質較差、腫瘤較小、無腦幹受壓或術後殘餘的患者,可以用保守治療方案定期覆診及檢查,或予以數碼導航刀放射治療來控制腫瘤生長。具體治療方案的制定需要有經驗的腦神經外科醫生全面評估,再結合患者及家屬的意願後決定。患有耳鳴和聽力下降症狀的中年人千萬不要忽視,一些看似不嚴重的症狀很可能就是聽覺神經瘤的先兆,應該儘早做進一步檢查。聽覺神經瘤如果是早期發現、早期診斷,將大大提高治療效果,聽覺神經及面部神經的功能保留率亦可大大提升。

error: Content is protected !!